埋伏在武汉影像科的颠覆者,又一场同质化竞争
春天来了。
国内新冠肺炎新增病例、疑似病例数量一直在减少,治愈人数不断上升。16家方舱医院正式谢幕的消息,也让武汉离摆脱重灾区更近了一步。
作为前线医护大军的一员,武汉市中医医院影像科主任徐良洲亲身感受到了这种趋势——
作为定点医院的武汉市中医医院,现在每天胸部CT的接诊量已经降到疫情巅峰时的1/3,且大多是对收治患者的复查。
疫情爆发期间,徐良洲和科室里的4个医生,每天要看400多张胸部CT片,写400多张报告,胸部CT的工作量几乎是平时的8倍。而每一张CT胸片,又有几百帧横切面需要筛看。
写报告写到凌晨,对他们来说是这个春节里的常态。
由于CT影像对新冠肺炎的诊断、治疗都有很大作用,其他定点医院也同样面临着影像科的超负荷运转。在金银潭医院、武汉市中心医院等的影像科,单天CT接诊甚至能达到1000人次。
“我告诉自己不要流泪,眼睛要用来看片子。”这是金银潭医院放射科主任樊艳青时刻告诉自己的话。一个多月来,她带着团队里的21人看了近200万帧胸片。
武汉市中医院CT胸片拍摄现场(受访者提供)
这给了许久没发声的医疗AI企业们一个正名的机会。
据虎嗅不完全统计,已有20余家公司相继完成AI+CT新冠肺炎辅助诊断系统的开发,如阿里达摩院、东软医疗、数坤科技、汇医慧影、推想科技等。
这些产品虽然表现形态各异,但共同作用都在于提升影像科医生的工作效率:平常医生阅片需要的几小时,可以被AI医生压缩到几分钟、20秒,甚至2~3秒。
工作量激增的情况下,全国的定点医院都已经至少使用了一种AI+CT辅助诊断系统,且使用率极高。
然而一旦脱离了疫情带来的需求,这些系统会不会像肺结节AI影像一样,在医院蒙了尘,再次沦落至食之无味、弃之可惜的境遇?
满负荷运转的前线影像科
1月20日,农历腊月二十六,距离中国最盛大的节日还剩四天。电视上,钟南山正在肯定地告诉所有人,目前可确定新冠肺炎存在人传人的现象。
接着,武汉全城突然失了语,一扫往昔热闹,沉默着缩进了连续的阴雨天中。
这座城市最拥挤的地方从光谷地铁站、江汉路步行街等变成了各个医院的门诊。按照惯例,医生会建议这些咳嗽严重的人去影像科拍个胸部CT。
令徐良洲没想到的是,一下子会涌来这么多人。
这天他上白班,和科室里的两个医生一起。往年的除夕前后,下午五点夜班同事接班后,他们就能准时下班了。然而这几天,白班医生都是8点以后才能下班,而夜班值班人员基本通宵工作。
过去的十几个小时中,CT机连续扫描了近400个患者的胸部,这个量是平时的8倍。这意味着,他们平均每个人要看近100张胸片、发出近100份报告给临床医生诊断用。
虽然不像核酸检测可以作为金标准,但CT可以作为筛选病人是否患有肺炎、是何种类型肺炎的第一道关口。
随后的日子里,为了配合新冠肺炎筛查,武汉市中医医院停掉了核磁共振和平片(X光)的拍摄,满负荷接收CT检查患者。
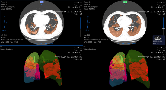
而一次胸部CT,会产生几百帧的图像,医生需要通过观察肺部病变的体积、密度等得出结论,这种定量分析往往要占据医生2小时以上的时间。
即便是到了大年三十儿晚上,CT机上上下下的患者也有200多人,两个夜班医生根本没时间睡觉。写完这些新片子报告后,天已然大亮。
1月27日,武汉市中医医院被列为新冠治疗定点医院。入院患者越多,影像科医生越忙——他们不仅要给疑似病例拍片,每三五天还要对住院患者复查,并对比分析治疗效果。
金银潭医院、武汉市中心医院等同为定点医院的情况也都很严峻,高峰接诊量一度达到1000人次。
即便两班倒,写报告到凌晨两三点也是常态。影像科医生已精疲力尽。
AI入院看片
在这个特殊时期,一直以来扎堆在肺结节领域但落地表现并不太好的医疗AI影像突然被寄予了厚望。尤其在2月5日国家卫健委将CT纳入新冠肺炎的诊断标准中后。
依图医疗的“胸部CT新型冠状病毒肺炎智能评价系统”是国内第一个投入一线使用的AI影像辅助诊断系统。
年三十这天,上海公卫临床中心找到依图,提出了对AI影像的具体需求:参与到病灶定量分析及疗效评价中来,提升效率和准确率。
从紧急召集散落在全国各地已经进入假期模式的百人团队,到1月28日产品在上海公卫临床中心上线,依图医疗用了4天。完成初步临床验证后,系统又陆续进入武汉大学人民医院、华中科技大学同济医学院附属协和医院、荆州市第一人民医院等。
温州医科大学附属第二医院的医生应用依图系统进行诊断
根据一线医生反馈,这套系统可以实现病变区的自动检测,2~3秒就可以智能完成定量分析,且与医生评价结果一直程度接近90%,准确率与效率都能让医生的工作量得以缓解。
除夕一早,正在家陪孩子做寒假作业的数坤科技CTO郑超接到了董事长毛新生的电话。后者在当天早上收到很多医生朋友关于疫情前线的消息。
“这次疫情特别严重,我们得做点什么。”毛新生在电话中跟郑超讲。
在与徐良洲等前线医生沟通的过程中,郑超对需求有了不一样的认识。肺炎的影像诊断在徐良洲看来并不难,以厘米计算的病灶大小比之3mm、5mm的肺结节容易发现得多。
真正的难点在于随访。患者每隔三五天会进行CT复查,医生需要对患者前后几次的CT影像进行对比分析,病灶数量、面积、密度等情况是在增加还是减少,以便掌握患者的治疗效果。
但这种变化往往是很细微的,需要逐帧对比几百张图像,即使经验丰富的医生也需要15分钟。而在武汉市中医院复查患者日均超过100人次的情况下,这项工作每天就要耗费25个小时。
新冠肺炎随访的需求对数坤来说最大的挑战在于,其病情发展非常迅速,无论是好转还是恶化。因此,同一个肺部病灶性质、位置、大小的变化也非常大。
“很可能上次还是低密度毛玻璃阴影,这次就已经实变了。”郑超带着10人的团队,开始想办法让计算机能将同一个病灶的不同表现匹配起来,看懂病灶本身的变化。
数坤与武汉市中医院合作,拿到影像样本,同步进行数据标注和产品设计、算法迭代。一周过去,内部测试中,初代新冠肺炎AI影像产品准确率达到85%。
随后,数坤将其部署到武汉的十几家合作医院中,先满足基本需求,在样本增加后再进行算法的迭代。现在的准确率已经超过90%。
据数坤科技马春娥介绍,这款产品同样能在2~3秒内识别炎性病灶、分割定位,勾画感染区域,对病灶区域进行量化评估。
该系统的随访功能更受徐良洲的青睐,尤其在新增病例减少、收治患者复查日益增多的窗口期。“以往至少需要15分钟的对比,计算机两三分钟就可以把它做完。”
医生在使用数坤AI对随访病例进行病情评估
又一场同质化竞争?
从1月末至今,陆续进入前线医院使用的AI+CT新冠肺炎辅助诊断系统已经有20余个,背后公司包括阿里达摩院、华为云、腾讯觅影这样的大厂,以及一直扎根在医疗AI的数坤科技、依图医疗、汇医慧影等创业公司。
在大量需求催生下,这些系统看起来技术各有不同,但实际上起到的效果都是相似的:在基本的阅片、定量分析、随访对比、报告等环节给医生带来的实际效率提升相近,准确率也都能达到90%以上,再优秀些能做到96%。
这又让人想起了初代医疗AI影像竞相涌入肺结节诊断的情景。据相关媒体统计,140余家医疗AI企业中,近120家在做医学影像业务,其中约百家布局肺结节辅助诊断。
尤其在2016年前后,创业与投资的热度使其一度成为一个风口。从AI发展的角度来看,图像识别更为成熟;而影像科医生大量的工作是重复枯燥的,由AI完成医学影像的初筛,可以帮他们释放时间专注解决更疑难的病例。
但短短两年后,就有影像科医生调侃,“中国人的肺结节不够用了”。一个放射科室中部署了几家公司的系统极为常见,但实际的利用率并不如愿。
首先,AI的敏感性和特异性无法兼顾。如果提升敏感性,则AI的眼睛会过于尖了,把很多不是结节的结果也误报上来。而误报率过高,会让医生不得不仔细审核,效率提升自然受限。
对于医疗AI企业来讲,肺结节辅诊的商业化之路也不大走得通了。
而新冠肺炎的爆发给了AI+CT另一个很好的落地场景。不仅在武汉,全国疫情最严重时,定点医院的影像科接诊量都翻了好几番。
然而,随着疫情得到控制,AI+CT的前景又显得迷茫了。除非在疫情结束之前,先拿下医疗器械三类证(用于认证识别病变且能提供明确诊断的AI器械),否则把产品卖给医院或是其他医疗机构依然是空谈。
不过,大多数医疗AI企业对此并不担忧。一方面,经历了当年的肺结节抢夺大战,各家早已走上差异化发展的路线,在心血管疾病、乳腺癌等领域开疆拓土;另一方面,流感的盛行,让已经较为成熟的AI+胸部CT在病毒性肺炎领域还有很大的发展空间。
而且,一旦AI+CT能够完成从定量分析到定性分析的转变,势必对以后的流行病防控、科研带来更大的助力。
无论如何,医疗AI的想象空间都还很大。至于商业化,还是等到产品真正过关后再说吧。



